口元の美しさを引き出す最新の審美歯科
歯の色や形が良くないせいで口元に自信がなく、「人前に出るのが苦手」「思いきり笑えない」という方は、東武野田線「運河駅」「江戸川台」からのアクセスが便利な流山市の歯医者
「マーブルファミリー歯科クリニック」に一度ご相談ください。口元の美しさを引き出す最新の審美治療と最先端の歯科材料で皆さんのお悩みを解消いたします。
セラミック審美治療のメリット
一般的な虫歯治療(保険診療)では、削った部分を「銀歯」と呼ばれる金属製の義歯で覆います。もちろん、これで機能的には問題ありませんが、白い歯のなかではどうしても浮いてしまうのが難点です。当院では、「銀歯では不満がある」という方のために、天然歯に近い見た目、質感を備えたセラミック製の素材をおすすめしています。なお、このセラミック材料は下記のように、銀歯にはないメリットを持っています。
- 1. 天然歯のような見た目
- 自然で透明感のある白さが特徴。周囲の健康な歯と違和感がありません。
- 2. 経年変化が少ない
- 長期の使用でも、セラミック製なので変色や劣化がほとんどありません。
- 3. 長寿命
- 銀歯やレジンにない強靭さと耐久性を兼ね備えているので、長期にわたって使用可能。
- 4. メタルフリーで安心
- セラミック素材を主体としているので金属アレルギーとも無縁です。
審美素材
保険診療で用いられる詰め物や被せ物の多くは銀歯と呼ばれる合金や歯科用プラスチック(レジン)ですが、当院ではこうした素材では満足できないという方に、下記のような高品質セラミックなどを用いた最新の審美治療をご提案しています。
-
オールセラミック
セラミック100%の良質な歯科材料
天然歯と同様の白さと透明感が持ち味。セラミックだけを素材としているので金属アレルギーとも無縁。耐久性も高く、長期にわたって快適な使用感が得られます。
-
ジルコニア
強さと美しさを兼ね備えた最高品質素材
人工ダイヤと同じ原料で作られたセラミック素材。見た目の美しさはもちろん強靭性も兼ね備えた、オールセラミック以上の最高品質素材です。
-
e-max
純度の高いセラミックを削り出した高品位素材
二ケイ酸リチウムガラスを主成分とした新開発の歯科用素材。高純度セラミックをコンピュータで精緻に削り出したもので、歯との接合面にすき間ができにくいのが特徴。
-
ハイブリッドセラミック
セラミックとレジンの複合素材
レジンとの複合素材だけに適度な軟らかさを持つため、噛み合う歯を傷つけにくいのが特色。白さや見た目の美しさはオールセラミックに一歩譲ります。
-
メタルボンド
強度に優れ噛み合う部位に最適
金属製のフレームに白いセラミックを焼き付けた複合素材で強度に優れています。自然な白さが特色ですが、透明感という点ではオールセラミックよりやや劣ります。
-
ファイバーコア
グラスファイバー製で歯根を傷めない
被せ物の土台(コア)にグラスファイバーを用いた材料。柔軟性があるため金属製のように歯根を傷めることがなく、しかも被せ物の透明感を損なうことがありません。
-
ラミネートベニア
前歯に被せて装着するつけ爪タイプの材料
つけ爪のように、前歯の表面に薄いセラミック片を取り付ける処置です。ホワイトニングでも白さを出せない場合などにおすすめ。なお、装着するには前歯の表面を削る必要があります。
-
ダイレクトボンディング
健康な歯を傷つけないスピード治療
歯の欠損部分などにレジンを直接貼り付け、特殊な光を当てて固定する治療法です。耐久性の点ではやや劣るものの、健康な歯を削る必要がほとんどなく、治療も短期間で済みます。
磨いても落ちない汚れにはホワイトニング
喫煙、飲酒、加齢などによる歯の変色は、毎日のブラッシングはもちろん歯科のクリーニングでもなかなか落ちません。しかし、人体に安全な薬剤で歯を白くするホワイトニングなら、気になる黄ばみや着色汚れも歯を削らずに落とすことができ、見違えるような白さ、美しさを手軽に取り戻せます。
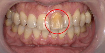
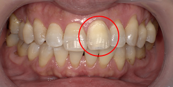
インターナルブリーチの治療例
インターナルブリーチとは、一般的に神経の死んでいる歯を専用の漂白剤を注入・洗浄することで白くする方法です。
- 50代 女性
- 30代 女性
- 50代 女性
- 70代 女性
- 30代 女性
- 40代 男性
- 40代 女性
- 40代 女性
- 30代 女性
- 40代 女性
- 50代 男性
- 30代 男性
- 40代 女性
- 30代 男性
- 50代 男性
- 20代 女性
| 年齢/性別 | 50代 女性 |
|---|---|
| 施術回数 | 3回 |
| 費用 | 50,000円(税抜) |
| 年齢/性別 | 30代 女性 |
|---|---|
| 施術回数 | 3回 |
| 費用 | 5万5千円(税込) |
| 年齢/性別 | 50代 女性 |
|---|---|
| 施術回数 | 3回 |
| 費用 | 50,000円(税抜) |
| 年齢/性別 | 70代 女性 |
|---|---|
| 施術回数 | 3回 |
| 費用 | 15万円(税抜)(3本分) |
| 年齢/性別 | 30代 女性 |
|---|---|
| 施術回数 | 4回 |
| 費用 | 66,000円(税抜価格 60,000円) |
| 副作用 | 歯根吸収 |
| 年齢/性別 | 40代 男性 |
|---|---|
| 施術回数 | 3回 |
| 費用 | 55,000円(税抜価格 50,000円) |
| 副作用 | 歯根吸収 |
| 年齢/性別 | 40代 女性 |
|---|---|
| 施術回数 | 3回 |
| 費用 | 55,000円(税抜価格 50,000円) |
| 副作用 | 歯根吸収 |
| 年齢/性別 | 40代 女性 |
|---|---|
| 施術回数 | 3回 |
| 費用 | 55,000円(税抜価格 50,000円) |
| 副作用 | 歯根吸収 |
| 年齢/性別 | 30代 女性 |
|---|---|
| 施術回数 | 3回 |
| 費用 | 55,000円(税抜価格 50,000円) |
| 副作用 | 歯根吸収 |
| 年齢/性別 | 40代 女性 |
|---|---|
| 施術回数 | 3回 |
| 費用 | 55,000円(税抜価格 50,000円) |
| 副作用 | 歯根吸収 |
| 年齢/性別 | 50代 男性 |
|---|---|
| 施術回数 | 4回 |
| 費用 | 55,000円(税抜価格 50,000円) |
| 副作用 | 歯根吸収 |
| 年齢/性別 | 30代 男性 |
|---|---|
| 施術回数 | 3回 |
| 費用 | 55,000円(税抜価格 50,000円) |
| 副作用 | 歯根吸収 |
| 年齢/性別 | 40代 女性 |
|---|---|
| 施術回数 | 3回 |
| 費用 | 55,000円(税抜価格 50,000円) |
| 副作用 | 歯根吸収 |
| 年齢/性別 | 30代 男性 |
|---|---|
| 施術回数 | 3回 |
| 費用 | 55,000円(税抜価格 50,000円) |
| 副作用 | 歯根吸収 |
| 年齢/性別 | 50代 男性 |
|---|---|
| 施術回数 | 3回 |
| 費用 | 5万5千円(1本分) |
| 年齢/性別 | 20代 女性 |
|---|---|
| 施術回数 | 3回 |
| 費用 | 5万5千円(1本分) |
ホームホワイトニングとは
自宅にて個人に合ったトレー(マウスピース)を用い、その中に薬剤を注入して行う方法。
ホームホワイトニングの治療例
| 年齢/性別 | 10代 男性 |
|---|---|
| 治療期間 | 3ヶ月 |
| 費用 | 19,800円(税抜価格 19,000円) |
| 副作用 | 知覚過敏 |
| 年齢/性別 | 70代 男性 |
|---|---|
| 治療期間 | 3ヶ月 |
| 費用 | 税込価格:19,800円(税抜価格 19,000円) |
| 副作用 | 知覚過敏 |
| 年齢/性別 | 40代 女性 |
|---|---|
| 治療期間 | 3ヶ月 |
| 費用 | 19,800円(税込) |
| 副作用 | 知覚過敏 |
| 年齢/性別 | 30代 男性 |
|---|---|
| 治療期間 | 3ヶ月 |
| 費用 | 19,800円(税込) |
| 副作用 | 知覚過敏 |
| 年齢/性別 | 20代男性 |
|---|---|
| 治療期間 | 1.5ヶ月 |
| 費用 | 19,800円(税抜価格 19,000円) |
| 副作用 | 知覚過敏 |
※2症例ともオパールエッセンス ホワイトニングジェル使用
| 年齢/性別 | 50代女性 |
|---|---|
| 治療期間 | 1.5ヶ月 |
| 費用 | 19,800円(税抜価格 19,000円) |
| 副作用 | 知覚過敏 |
※2症例ともオパールエッセンス ホワイトニングジェル使用
| 年齢/性別 | 30代女性 |
|---|---|
| 治療期間 | 1ヶ月 |
| 費用 | 19,800円(税抜価格 19,000円) |
| 副作用 | 知覚過敏 |
| 年齢/性別 | 50代 男性 |
|---|---|
| 治療期間 | 1.3ヶ月 |
| 費用 | 19,800円(税抜価格 19,000円) |
| 副作用 | 知覚過敏 |
ホームホワイトニング治療の流れ
1.カウンセリング及びクリーニング

●ホワイトニングして問題ないか歯科医師による口腔全体の検診・適応症の診査を行う。
●見積書のお渡し
2.マウスピースの印象(型どり)

●費用のお支払い(片顎:9,900円~[税抜価格 9,000円~])
→型どり後、自社にてマウスピースの作製を行います。
最短で1週間で作成可能。
3.ホワイトニングセットのお渡し

●ホワイトニングの使用方法・注意事項の説明
●ホワイトニング前の写真撮影
●歯のクリーニング
- 上下顎のマウスピース
- ジェル3本(受付でも購入可能)
- マウスピース保管ケース
<お渡しするもの>
※お渡し後、2・3週間使用して頂き、効果の確認をしていきます。
注意事項
- ホワイトニングのジェルの効果には個人差があります。あらかじめご了承ください。
- ホワイトニング中は着色のつきやすい食べ物・飲み物等はなるべく避けてください。
(コーヒー、お茶、ワイン、カレー、チョコレート、たばこ等) - 必ず初回は1日1回2時間の装着を厳守して下さい。長時間の装着は歯がしみる場合があります。しみる頻度が多い場合はしばらく装着は控えるようにして下さい。
- 歯ぐきがジェルにより白くなる場合がありますが、2、3日で治まります。




















































