虫歯のない方でも、歯周病には注意が必要です
日本で歯を失う原因のトップにランキングされている病気、それは虫歯ではなく歯周病です。
成人の約8割が、すでにかかっているかその予備軍であると言われています。外見的には健康な歯に見えていても、初期段階では自覚症状がないだけに決して安心はできません。
とりかえしのつかないことになる前に、東武野田線「運河駅」「江戸川台」からのアクセスが便利な流山市の歯医者「マーブルファミリー歯科クリニック」で一度、検診を受けてください。
歯を失う原因のほとんどが歯周病です

厚生労働省の調査によると、日本人が歯を失う原因のトップは虫歯ではなく歯周病で、なんと全体の4割を占めています。しかも成人の約8割が歯周病菌に感染していると言われており、決して他人事ではありません。しかも、病状がかなり進行するまで自覚症状がないので、気づいたら進行していたということもあります。すでに歯茎の腫れや出血があったり、口臭がひどかったりする場合は歯周病の可能性はきわめて高いと言えます。顎の骨が溶け、土台を失った歯が抜け落ちる前に、必ず歯科を受診しましょう。
歯周病30秒チェック
自覚症状としては気づきにくいことばかりですが、しかし、こうした些細な異状が歯周病のサインであることも多いので要注意です。下記に挙げた10項目のうち思い当たるものにチェックを入れてみてください。もちろん、チェックの数が多ければ多いほど歯周病の可能性が高いということになります。
あなたはいくつ当てはまりますか?
- 0
- 「安全」 ご安心ください。まだ歯周病にかかっていません。
歯周病の症状と治療
歯周病の初期段階や予防治療ではプラークや歯石の除去を行いますが、それでも患部が改善しない場合は、外科的治療を行います。
| 軽度歯周病(歯周炎) | 中等度歯周病 | 重度歯周病 |
|---|---|---|
![]() |
![]() |
![]() |
| 初期段階では歯肉炎歯茎が赤く腫れる状態が続きます。これがさらに進むと軽度歯周炎となり、歯茎の腫れや出血を伴うことも。また、歯周ポケットが深くなっている場合もあります。ただこの段階でも痛みなどの症状はありません。 | 歯周ポケットが深くなり、顎の骨が溶け始めています。こうなると歯がグラグラする、歯茎の腫れや出血が目立つなどの症状が現れます。また、口臭がひどくなることも。 | 顎の骨の大部分が歯周病菌によって溶かされてしまっているため、歯がグラグラし、不安定な状態になっています。放置すればやがて歯が抜け落ちてしまいます。この場合、健康な組織を移植する治療を行い、失われた歯肉や組織を補います。 |
※表は左右にスクロールして確認することができます。
歯周病の主な治療法
治療法
-
ブラッシング指導
ブラッシングが不十分ではプラークが落とせず、歯周病菌が繁殖しやすくなります。歯科衛生士が歯のすみずみまできれいにできるようブラッシング指導します。
-
スケーリング
スケーラーという治療器具を用いて、歯周病菌の発生源となるプラークや歯石を取り除きます。
-
SRP(スケーリング・ルートプレーニング)
歯周ポケットの奥深くにこびりついた歯石や細菌のかたまりなどを、キュレットという専用の器具でかき出します。
-
FOP(フラップ手術)保険適応
歯周病が進行すると歯ぐきに隠れた歯の根元まで歯石や菌に侵されます。これを取り除き天然歯を保存します。
-
FGG(遊離歯肉移植)保険適応
溶けた歯根の周囲に、上顎の口蓋(こうがい)と呼ばれる部分から「角化歯肉」と呼ばれる上皮付きの丈夫な歯茎を移植します。
-
CTG(結合組織移植)保険適応
歯茎が痩せた場合や抜歯後に歯茎が陥没した場合は上顎の口蓋から結合組織を移植します。歯根を覆う歯肉を厚くできるので、ブラッシングがしやすくなります。
-
リグロス(歯周組織再生療法)
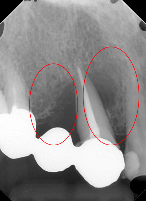
歯周病により失われた歯ぐきや歯を支える骨を再生するための治療です。
リグロスは成長因子を含む薬剤で、歯周組織の再生を促します。歯周ポケットの深い部分に塗布することで、歯ぐきや骨を回復させ、歯の安定性を高めます。
リグロス(歯周組織再生療法)の症例
年齢/性別が表示されたボタンを押すと、下部にスクロールして症例の画像と詳細をご覧になれます。













